Advertisement

Mesothelioma And Pleural Fluid - Cancers Of The Pleura Basicmedical Key - pleural fluid glucose correlates with ph and has similar clinical implications.

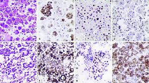
Mesothelioma And Pleural Fluid - Cancers Of The Pleura Basicmedical Key - pleural fluid glucose correlates with ph and has similar clinical implications.. A lower percentages are described in sarcomatoid subtype; As a patient's mesothelioma advances, ascites and peritoneal thickening put more pressure on the internal organs in the abdominal cavity. 2 microscobic view of cytologic examination a) malignant mesothelial cells showing nuclear pleomoprhism, hyperchromasia and increase in nuclear to cytoplasmic ratio; This is called a pleural effusion. Patients with recurrent pleural effusion are sometimes treated with an indwelling pleural catheter.

pleural thickening is often accompanied by pleural effusion when the active disease is malignant mesothelioma. The specific gravity of the pleural fluid is also nondiagnostic. The large clusters of cells display a mesothelial phenotype (cell wrapping, low nuclear:cytoplasmic ratios, knobby cell group borders). Other recognized mesothelioma staging systems include the brigham and butchart systems, however, these are rarely used today in the united states. About 75 percent of all mesothelioma cases diagnosed each year are pleural mesothelioma.

Pleural Effusion Mesothelioma Causes Signs Treatments
Pleural Effusion Mesothelioma Causes Signs Treatments from www.mesothelioma.com
pleural mesothelioma is a rare cancer that grows around the lungs and chest. Malignant pleural mesothelioma (mpm) is the most common type and can be difficult to treat because most patients have advanced disease at presentation. Tumors develop in the lining of the lungs and chest cavity (called the pleura).it is the most common form of mesothelioma, making up 60 to 70 percent of all cases. Imaging tests are the first step of diagnosis. This seals the area between the pleural linings to prevent fluid buildup. July 16, 2021 by thomas lamb. pleural effusion affects 1.3 million individuals each year. Less common symptoms of pleural mesothelioma include fever, night sweats and weight loss.

Malignant (cancerous) pleural mesothelioma forms in the pleura.

Many people with pleural mesothelioma have fluid around their lungs (a pleural effusion). No single fluid control technique (surgical including pleurectomy and vats, thoracoscopic talc poudrage, talc slurry or ipc) has been shown to be superior in terms of patient symptoms or pleurodesis success in mpm. Only pleural mesothelioma (the most common type of mesothelioma) is staged using the tnm system at this time. pleural mesothelioma develops in the pleura, which is a thin membrane separating the chest wall and lung cavity. The diagnosis is often made after many other more common diseases are ruled out. The visceral (inner) layer is next to the lung and the parietal (outer) layer lines the chest wall. The primary symptoms of pleural mesothelioma include breathing difficulty, chest pain and pleural effusion. pleural effusion is a buildup of fluid between the layers of the pleural lining. Although patients with a low pleural fluid ph (ph<7.3) are more likely to have a poorer overall survival and unsuccessful pleurodesis, its predictive accuracy is poor and should not be used to guide patient care. Its incidence and associated healthcare costs are rising and its management remains palliative, with median survival ranging from 3 to 12 months. pleural mesothelioma is a rare cancer that grows around the lungs and chest. Malignant pleural mesothelioma (mpm) is an aggressive malignancy with high mortality arising from mesothelial cells lining the pleural cavity. This can make it difficult for them to breathe.

Even the gross appearance, color, clarity and odor can be useful tools. Other symptoms felt by patients with pleural mesothelioma. Malignant pleural mesothelioma (mpm) is the most common type and can be difficult to treat because most patients have advanced disease at presentation. Ability to expand due to lining thickening. 2, 3 mpm usually develops on the parietal pleural surface.

Effusions Cytopathology Cellnetpathology
Effusions Cytopathology Cellnetpathology from www.cellnetpathology.com
About 75 percent of all mesothelioma cases diagnosed each year are pleural mesothelioma. There is a global epidemic of malignant pleural mesothelioma underway, and incidence rates are predicted to peak in the next few years. The device, inserted into the pleural space by penn surgeons, removes excess fluid from the chest cavity and relieves symptoms associated with pleural effusion while allowing patients to remain. pleural effusion is a severe problem associated with pleural mesothelioma or excessive fluid buildup in the chest, limiting the lungs' pleural mesothelioma is a rare tumor associated with poor prognosis. pleural fluid findings in patients with mesothelioma are normally not diagnostic. Higher percentages in epithelioid subtype. Most patients with pleural effusions receive a thoracentesis, which drains the fluid from the pleural.

pleural effusion due to mpm may have a lower pleurodesis success rate than other malignant effusions.

July 16, 2021 by thomas lamb. The right lung is affected 60% of the time, with involvement of both lungs being seen in approximately 5% of patients at the time of diagnosis. Most patients with pleural effusions receive a thoracentesis, which drains the fluid from the pleural. This can make it difficult for them to breathe. Less common symptoms of pleural mesothelioma include fever, night sweats and weight loss. When the rare cancer forms, the presence of tumors causes fluid to build up in the pleura. Effusion is the generation of excess fluid in the area; **note 2:** one of the most common symptoms of mesothelioma is a pleural effusion, or an accumulation of fluid between the parietal pleura (the pleura covering the chest wall and diaphragm) and the visceral pleura (the pleura covering the lungs). It arises from mesothelial surfaces of the pleural cavity, peritoneal cavity, tunica vaginalis, or pericardium. Stage 4 mesothelioma is the final stage in the tumor node metastasis (tnm) staging system. In pericardial mesothelioma, fluid develops in the sac that. Malignant pleural mesothelioma (mpm) is a form of cancer caused by exposure to asbestos. Notes **note 1:** physician statement of pleural effusion can be used to code this data item when no other information is available.

Other symptoms felt by patients with pleural mesothelioma. The primary symptoms of pleural mesothelioma include breathing difficulty, chest pain and pleural effusion. Even the gross appearance, color, clarity and odor can be useful tools. The visceral (inner) layer is next to the lung and the parietal (outer) layer lines the chest wall. These symptoms mimic signs of less serious conditions.

Case N 28 Mesothelioma Cytology Histology Cytology Blog Site
Case N 28 Mesothelioma Cytology Histology Cytology Blog Site from icytology.files.wordpress.com
If the physician feels the pleural effusion is due to tumor, despite negative cytology, the physician's assessment can be used. The primary symptoms of pleural mesothelioma include breathing difficulty, chest pain and pleural effusion. pleural effusion affects 1.3 million individuals each year. 1 most cases of mpm are associated with a history of asbestos exposure, with an incubation period of 10 to 50 years or more. Malignant pleural mesothelioma (mpm) is a form of cancer caused by exposure to asbestos. 1 malignant pleural effusion (mpe) often is present at diagnosis of mpm. The diagnosis is often made after many other more common diseases are ruled out. Like other types of mesothelioma, this particular form of the disease gets its name because of where it is formed — in.

When the rare cancer forms, the presence of tumors causes fluid to build up in the pleura.

2 microscobic view of cytologic examination a) malignant mesothelial cells showing nuclear pleomoprhism, hyperchromasia and increase in nuclear to cytoplasmic ratio; Malignant pleural mesothelioma (mpm) is a form of cancer caused by exposure to asbestos. It arises from mesothelial surfaces of the pleural cavity, peritoneal cavity, tunica vaginalis, or pericardium. pleural effusion is a severe problem associated with pleural mesothelioma or excessive fluid buildup in the chest, limiting the lungs' These fibers get lodged into the protective lining of the lungs (the pleura), causing genetic mutations in the surrounding cells. The operation manages a primary pleural mesothelioma symptom and reduces pain. pleural mesothelioma is the most common of the four mesothelioma types, making up approximately 75% of all cases diagnosed. Malignant mesothelioma is a rare and insidious neoplasm with a poor prognosis. The device, inserted into the pleural space by penn surgeons, removes excess fluid from the chest cavity and relieves symptoms associated with pleural effusion while allowing patients to remain. There is a global epidemic of malignant pleural mesothelioma underway, and incidence rates are predicted to peak in the next few years. A lower percentages are described in sarcomatoid subtype; The large cell group and occasional macronucleoli Commonly used immunohistochemical stains for the diagnosis of malignant pleural mesothelioma.

Post a Comment

0 Comments